山东001在线

 找回密码
 立即注册
搜索
查看: 826|回复: 0

一些奇怪的X光照片,看完整个人都不好了……

[复制链接]

该用户从未签到

发表于 2019-6-5 17:54:17 | |阅读模式
作者:今日头条

在座的各位小伙伴都体检过吧,对于可以看到自己的骨骼和内里的构造的X光照片肯定都很好奇吧!X光是人类的伟大发明之一,有些时候真的很方便,用处最多的也就是医院和安检了,这也让我们可以看到许多奇奇怪怪的东西,一起来看看吧

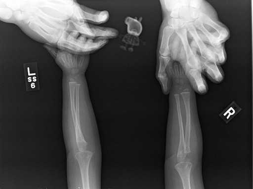
1. 「我女儿坚持要佩奇陪她才要拍X光。」

一些奇怪的X光照片,看完整个人都不好了……-1.jpg



2. 这22年来,看脚指的X光是他的梦想。

一些奇怪的X光照片,看完整个人都不好了……-2.jpg



3. 刚吃完晚餐的蛇。

一些奇怪的X光照片,看完整个人都不好了……-3.jpg



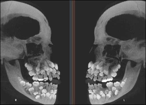
4. 多牙症患者的X光。

一些奇怪的X光照片,看完整个人都不好了……-4.jpg



5. 这是X光界的乱入照。

一些奇怪的X光照片,看完整个人都不好了……-5.jpg



6. 怀孕的乌龟。

一些奇怪的X光照片,看完整个人都不好了……-6.jpg



7. 女生穿高跟鞋时的骨头。

一些奇怪的X光照片,看完整个人都不好了……-7.jpg



8. 这是马的脚!

一些奇怪的X光照片,看完整个人都不好了……-8.jpg



9. 怀孕的猫咪。

一些奇怪的X光照片,看完整个人都不好了……-9.jpg



10. 「我朋友的儿子吞了雪花?」

一些奇怪的X光照片,看完整个人都不好了……-10.jpg



11. 所以不要再把钻戒放在食物里!

一些奇怪的X光照片,看完整个人都不好了……-11.jpg



12. 「我要求要做核磁共振,结果… 」

一些奇怪的X光照片,看完整个人都不好了……-12.jpg



13. 拔拔,我不小心吞了发夹。

一些奇怪的X光照片,看完整个人都不好了……-13.jpg



14. 疴…那是海绵宝宝吗?

一些奇怪的X光照片,看完整个人都不好了……-14.jpg



15. 金鱼的X光。

一些奇怪的X光照片,看完整个人都不好了……-15.jpg



16. 这是世界上第一张X光片,由威廉·伦琴于1895年12月22日拍摄的。

一些奇怪的X光照片,看完整个人都不好了……-16.jpg



17. 连体双胞胎的X光片。

一些奇怪的X光照片,看完整个人都不好了……-17.jpg



18. 这其实是一只狗。

一些奇怪的X光照片,看完整个人都不好了……-18.jpg



19. 加州秃鹰蛋里面的样子!

一些奇怪的X光照片,看完整个人都不好了……-19.jpg



20.全都是钉子,不过居然都没有刺伤内脏

一些奇怪的X光照片,看完整个人都不好了……-20.jpg



21.恐袭者体内的手榴弹。但他打算怎么引爆呢?

一些奇怪的X光照片,看完整个人都不好了……-21.jpg



22. 荷马·辛普森的X光照片~

一些奇怪的X光照片,看完整个人都不好了……-22.jpg

QQ|手机版|小黑屋|Archiver|山东001在线 ( ICP11027147 )

GMT+8, 2026-4-4 15:48 , Processed in 0.042942 second(s), 24 queries , Gzip On.

Powered by Discuz! X3.4

© 2001-2023 Discuz! Team.

快速回复 返回顶部 返回列表